Add Row
Add Element
Tech Life Journal
update
Tech Life Journal 
update
Add Element
  • Home
  • Categories
    • Innovation
    • Digital Tools
    • Smart Living
    • Health Tech
    • Gear Review
    • Digital Life
    • Tech Travel
    • Voices in Tech
  • Featured
January 22.2026
3 Minutes Read

Breakthrough Biomarkers Could Transform Early Detection of Pancreatic Cancer

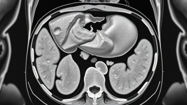
Grayscale CT scan highlighting biomarkers for early detection of pancreatic cancer.

Revolutionizing Detection: Novel Biomarkers for Pancreatic Cancer

Pancreatic cancer is often diagnosed too late due to symptoms that emerge in advanced stages, resulting in a disheartening five-year survival rate of just 13%. However, breakthrough research from Indiana University's Fairbanks School of Public Health has pinpointed a set of biomarkers that show promise in enhancing early detection of this notoriously aggressive disease. Led by Dr. Jianjun Zhang, this collaboration aims to identify pancreatic cancer at its most treatable stage, a crucial aspect that could change the grim survival statistics.

Understanding Early-Stage Indicators

The research, conducted in collaboration with Texas's MD Anderson Cancer Center, identified several critical protein markers in pancreatic cyst fluid, including those linked to a condition known as intraductal papillary mucinous neoplasms (IPMNs). These cysts serve as potential early warning signs for pancreatic cancer. Notably, the activity of sulfatides, a type of fat-and-sugar molecule, has risen significantly in the early phases of the disease. Zhang's study found that elevated levels of cyst fluid polyamines are associated with an increased risk of cancer, lending researchers new biochemical signals to work with for screening tests.

Enhancements in Existing Testing Methods

Interestingly, the research also revolved around enhancing current testing methodologies, specifically the CA19-9 blood test, which is a staple for pancreatic cancer diagnosis. The innovative approach involves analyzing a series of repeated measurements over time rather than a single test point. This improvement not only increases accuracy but can also uncover hidden cancers sooner than traditional methods. As Dr. Zhang succinctly states, "Early detection is key in saving lives, and these advancements bring us closer to identifying the disease in a curable stage." These discoveries pave the way for a more effective risk stratification process for patients presenting with pancreatic cysts.

Current Context and Comparable Research

The advances in identifying biomarkers echo similar initiatives in parallel studies. For instance, research from Japan highlights the efficacy of blood-based biomarkers and has shown that proteins such as insulin-like growth factor-binding proteins (IGFBP) can distinguish early-stage cases of pancreatic cancer from healthier controls. Statistically, combining these novel candidate biomarkers with established ones has proven to significantly enhance diagnostic accuracy beyond that offered by CA19-9 alone. Incorporating miRNA and metabolite biomarkers also brings considerable promise to early diagnosis.

Hope for the Future

The ongoing research is not only critical for diagnosing pancreatic cancer earlier but also fuels hope for better outcomes. The systematic review and meta-analysis covering multiple studies further bolster the argument that novel biomarkers, particularly miRNAs and specific proteins, can substantially improve detection rates. With combined methods showing favorable sensitivity and specificity, clinicians might see a transformative shift in managing pancreatic cancer.

The Human Cost of Delay

Current findings underscore the human cost associated with the lack of early detection. With most patients diagnosed at advanced stages, their chances for a successful treatment dwindle. Every advancement made in this field represents not just a statistic but real lives at stake, emphasizing the importance of ongoing research and innovation in diagnostic methods.

Conclusion: A Call to Action

As researchers continue to uncover these essential biomarkers, concerted efforts must be made to facilitate their integration into routine clinical practice. The advancements in identifying and utilizing these novel biomarkers not only represent a shift in how pancreatic cancer could be detected but also offer a beacon of hope to patients and families facing this daunting diagnosis.

Health Tech

0 Comments

Write A Comment

*
*
Related Posts All Posts
02.13.2026

How Cold Plasma Technology Could Transform Adenovirus Neutralization

Update The Promise of Cold Plasma Technology in Fighting Adenoviruses A recent breakthrough from the Leibniz Institute for Plasma Science and Technology has illuminated an innovative approach to combat adenoviruses, which are known culprits behind diseases ranging from the common cold to more serious gastrointestinal infections. Researchers discovered that cold plasma, specifically an argon plasma jet known as kINPen med, can efficiently render adenoviruses inactive within a short timeframe—demonstrating a potential game-changer in medical hygiene and infection control. Understanding the Mechanism: How Plasma Works The study found that cold plasma does not eliminate the viruses through conventional means, such as heat, but rather via chemical reactions. When adenoviruses are exposed to the argon plasma, it generates highly reactive oxygen and nitrogen compounds. These compounds act selectively, targeting crucial components of the virus's protective envelope without significantly altering the virus's genetic material. This targeted approach results in the proteins essential for the virus's ability to penetrate human cells being chemically modified, thus stripping the virus of its infectious capacity. Adequate Efficacy: Testing and Results The laboratory tests yielded compelling results. With exposure to the plasma jet for just 90 seconds, the infectivity of adenoviruses was reduced by approximately 96%. Researchers observed that the viruses showed notable physical changes, with particles shrinking by about 16% in size. These changes, visualized through electron microscopy, serve as indications of the plasma's effectiveness in neutralizing viral threats. Such promising data paves the way for further trials, and ongoing research efforts aim to confirm these findings in real-world scenarios, including the treatment of infected tissues. Implications for Future Applications This research marks a significant milestone in understanding how medical gas plasma can be harnessed for disinfection purposes. One pertinent application could be in sanitizing medical devices or healthcare environments, potentially minimizing the risk of viral infections caused by contact with contaminated surfaces. The researchers emphasize that their findings provide a foundational basis for the development of enhanced plasma technologies intended for broader applications in hygiene and infection prevention. Looking Ahead: Is Cold Plasma the Future of Infection Control? As healthcare professionals seek innovative solutions in the ongoing battle against viruses, the ability of cold plasma to specifically target and neutralize adenoviruses opens up fascinating avenues for research. However, the current findings are based on laboratory contexts. To move forward, extensive studies investigating the applicability of this method in human tissue and infected environments are critical. Should these efforts prove successful, we may witness a new chapter in infection control strategies, dramatically enhancing safety protocols in hospitals and public health measures. Key Takeaways and Broader Significance Understanding the unique mechanisms by which cold plasma interacts with pathogens presents the healthcare industry with exciting opportunities. As viruses continue to evolve and pose serious health risks worldwide, ongoing research into advanced disinfection technologies is crucial. The implications of this study not only bring hope for controlling adenovirus outbreaks but also set a precedent for developing similar strategies against other resilient pathogens. The concept of utilizing cold plasma offers a fresh perspective on how we perceive antiviral treatment and prevention methods. With further investigative work on its applications in more complex biological systems, we may soon capitalize on a tool that could revolutionize medical hygiene and patient safety.

02.13.2026

Unlocking Aging Tech Innovation Through Collaborative Partnerships

Update Transforming Senior Care: The Power of Partnerships in Aging Tech The aging population in America presents developments in technology geared towards improving their quality of life, engagement, and independence. As the senior demographic continues to numerically grow—the projection indicates that by 2030, nearly 72 million Americans will be over 65—the demand for effective, tailored solutions grows simultaneously. Engaging seniors in the design and implementation of these technologies is pivotal. Bridging the Gap: The Role of Community and Collaboration During the recent 2025 LeadingAge Annual Meeting, industry experts emphasized the necessity of involving older adults in technology adoption discussions. Michelle Curnow, a senior vice president at Asbury Communities, highlights a common misconception: older adults are often seen as resistant to technology. In reality, many have experience with digital devices and seek innovations that genuinely enhance their lives. Partnerships between tech companies, non-profits, and educational institutions, such as the Thrive Center in Louisville, are pivotal. These collaborative environments not just showcase new technologies but also create space for elderly users to test products and offer feedback. Sheri Rose, the CEO of Thrive, points out that this feedback loop is crucial—if a technology fails to meet the needs of its intended users, entrepreneurs might need to reassess their offerings. Synchronizing Technology with Care: Meeting Diverse Needs The focus on technology for older adults extends beyond merely their age; the technology must be adaptable to various stages of health. Liz Cramer of CDW Healthcare reiterates this point, noting that innovations need to remain flexible as users potentially transition through different health conditions. For example, what serves an individual with mild cognitive impairment may not suffice as their health changes. Thus, adaptability and customization in senior care tech are required components for success. Innovative Solutions That Empower As the demand for aging in place grows—where seniors prefer to live comfortably in their own homes—the tech industry is rapidly evolving to accommodate this need. Recent innovations include remote patient monitoring systems, telehealth services, and smart home technologies that collectively foster independent living. A poignant example is the shift from nursing homes to home-based care, driven by technological adoption. With many older adults wanting to remain in their homes, the tech provides essential support like health monitoring and safety measures, enabling a dignified living experience. A Look Ahead: Future Trends in Aging Tech Looking toward the future, the intersection of technology and healthcare for seniors will continue to flourish. Initiatives aimed at enhancing data management, increasing access to telehealth, and securing digital health data will be crucial for creating a holistic support system for the aging population. Innovations stemming from collaborative efforts among stakeholders will not only improve individual care experiences but also streamline overall healthcare systems to better serve our elderly communities. The integration of technology into the aging space signifies a forward-thinking approach that values autonomy and independence for older adults. As collaborators in this field of innovation share their successes and challenges, it sets the stage for a groundbreaking shift in how society cares for its aging members. Engaging with technology is indicative of a broader narrative—the viewpoint that aging should come with resources that empower rather than restrict. Thus, the call to action is clear: fostering partnerships and leveraging technology is paramount in creating environments that support the independence and well-being of our aging population.

02.12.2026

Researchers Identify How Adenoviral Vaccines Can Cause Rare Blood Clots

Update Understanding the Rare Clotting Caused by Adenovirus Vaccines Recent discoveries from a global collaboration of scientists have shed light on the perplexing issue of rare blood clotting related to adenoviral vaccines and natural adenovirus infections. A study conducted by researchers from McMaster University, Flinders University, and Universitätsmedizin Greifswald, published in the New England Journal of Medicine, has pinpointed the exact mechanisms through which the immune system can mistakenly target its own proteins, leading to complications such as vaccine-induced immune thrombocytopenia and thrombosis (VITT). The Mechanism Behind the Complication At the heart of this research is an unexpected misdirection in the body’s immune response, particularly in how antibodies are formed when exposed to adenoviral proteins. More specifically, the study reveals that VITT can be triggered in individuals exposed to adenovirus—via vaccination or natural infection—particularly those who possess a certain inherited variant of the antibody gene (IGLV3-21*02 or *03). This variant is not solely responsible for VITT, as it exists in up to 60% of the population. However, it sets the stage for the immune system's reaction, especially when targeted antibodies mistakenly recognize a viral protein called protein VII (pVII) that bears a striking resemblance to a human blood protein known as platelet factor 4 (PF4). In rare instances, a mutation in the antibody-producing cells (named K31E) prompts antibodies to alter their focus from pVII to PF4, inadvertently leading to blood clots. The Research Process: Uncovering the Mystery Through advancing techniques, scientists sequenced antibodies from VITT patients, utilizing mass spectrometry to map their structures and engineering laboratory versions to observe these critical mutations. They confirmed the findings in humanized mouse models, demonstrating that the K31E mutation was crucial for developing VITT-related complications. When reverting this mutation, researchers found that the antibodies lost their harmful capability, highlighting a pivotal point in understanding VITT. A Future Without VITT? The promising aspect of this research is rooted in the hope that future adenoviral vaccines can be designed to retain their efficacy while eliminating the risk of these rare but severe complications. By targeting the specific viral components responsible for the immune misfire, scientists may create safer vaccination strategies, improving public health outcomes. Theodore Warkentin, the study's lead author, remarked on the significance of identifying the molecular triggers behind VITT and the potential to mitigate them in future vaccine developments. Broader Implications: Understanding Adverse Immune Reactions The findings present a broader understanding of antibody-driven adverse reactions to various infections, medications, or environmental factors. By mapping out how immune responses can go astray, researchers can address not only issues arising from adenoviral vaccines but also various other medical conditions linked to immune system irregularities. These insights pave the way for future research efforts and therapeutic approaches aimed at preventing similar complications in diverse populations. Conclusion: A Landmark Discovery in Immunology This innovative research underscores the complexities of our immune system and the persistent challenges surrounding vaccine safety. By uncovering the specific mutations and mechanisms that lead to rare complications, the scientific community can advance toward more effective, safer vaccines capable of protecting health without risking adverse reactions. For more in-depth insights and updates on this evolving story, continue following health tech publications and resources that explore the implications of these findings in improving public health standards.

Terms of Service

Privacy Policy

Core Modal Title

Sorry, no results found

You Might Find These Articles Interesting

T
Please Check Your Email
We Will Be Following Up Shortly
*
*
*